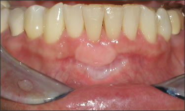
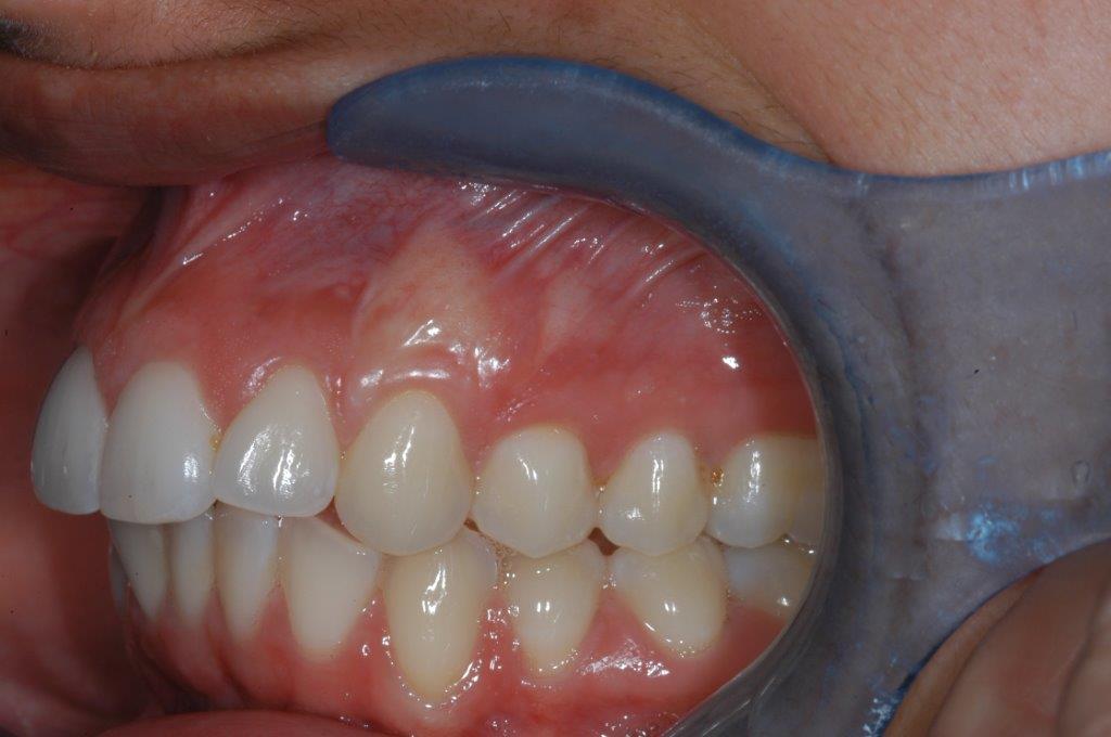
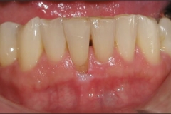
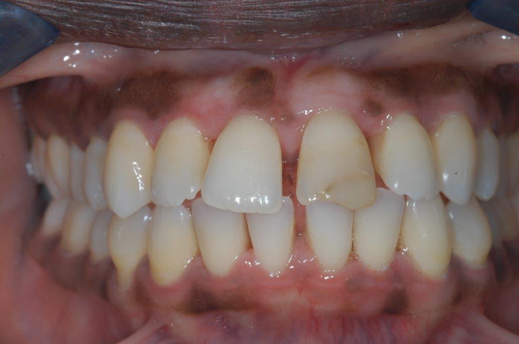
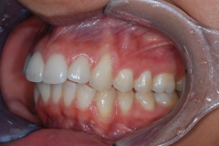
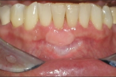
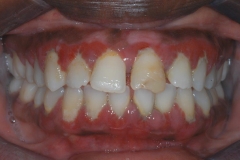
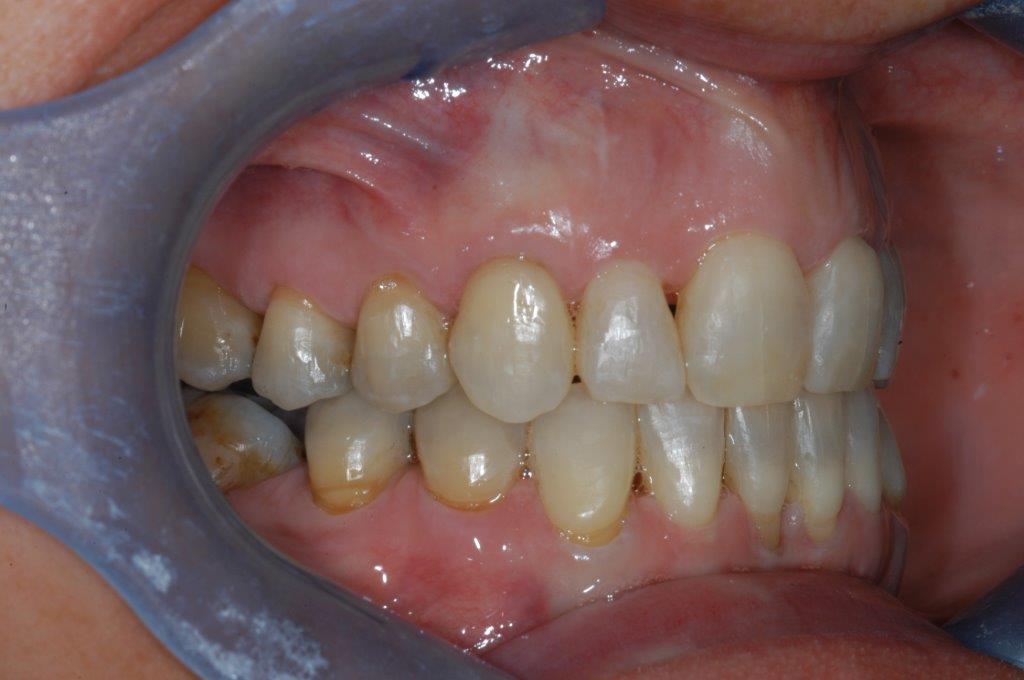
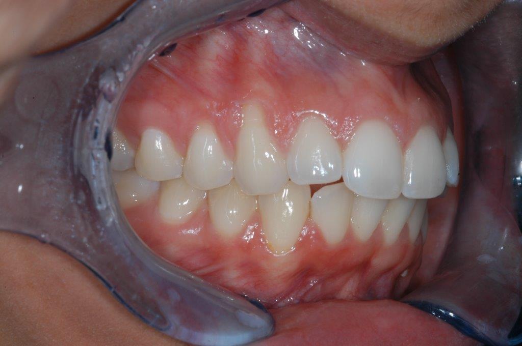
This patient experienced many areas of gum recession, primarily on the upper and lower front teeth. This patient's own tissue was used to correct the problem.
Click on a thumbnail to view the before and after photos.
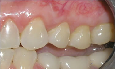
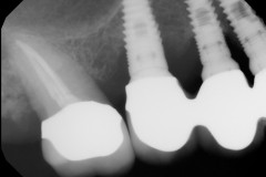
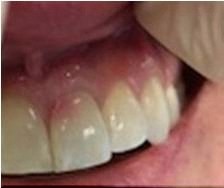
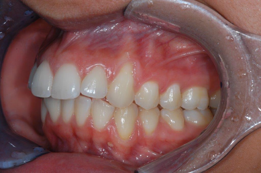
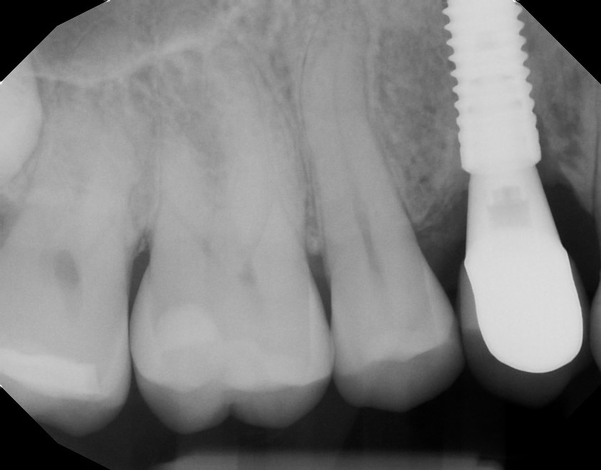
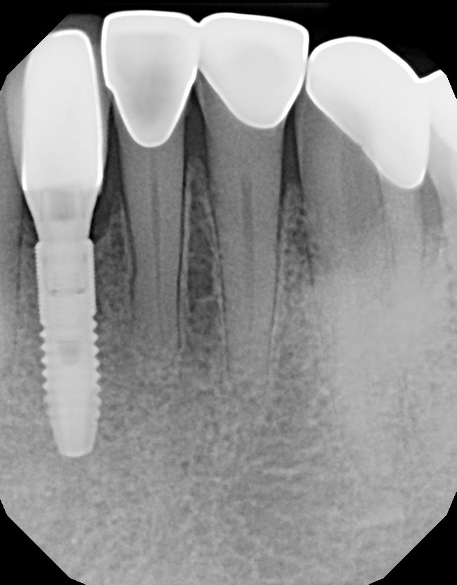
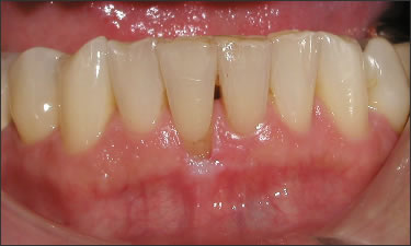
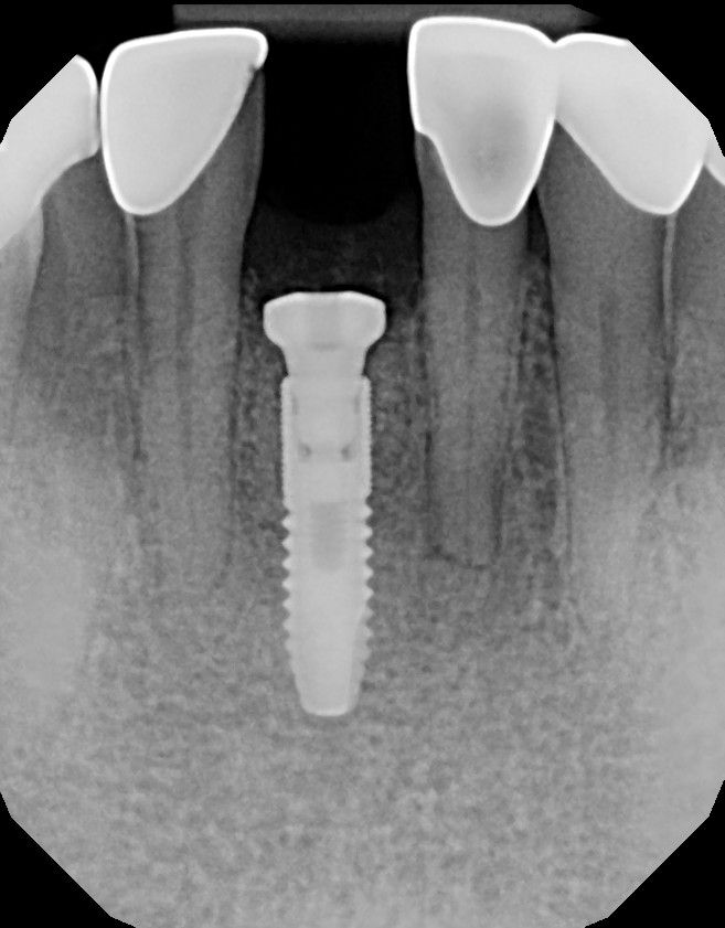
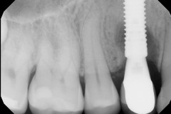
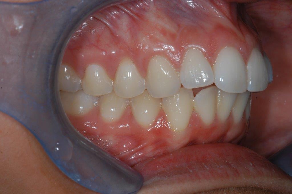
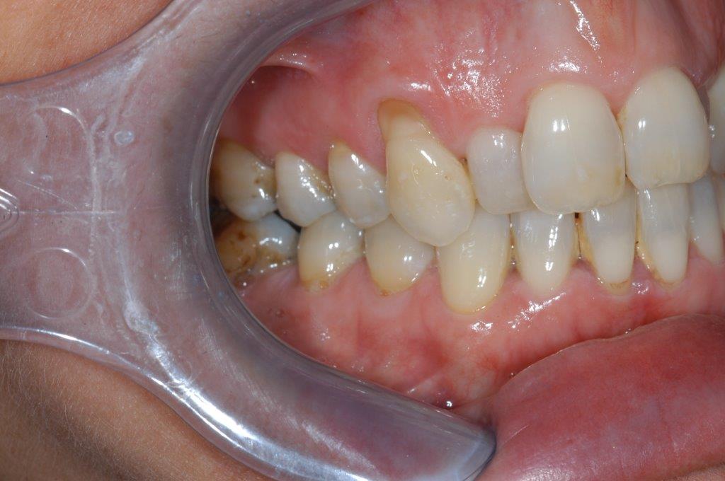
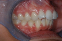
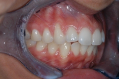
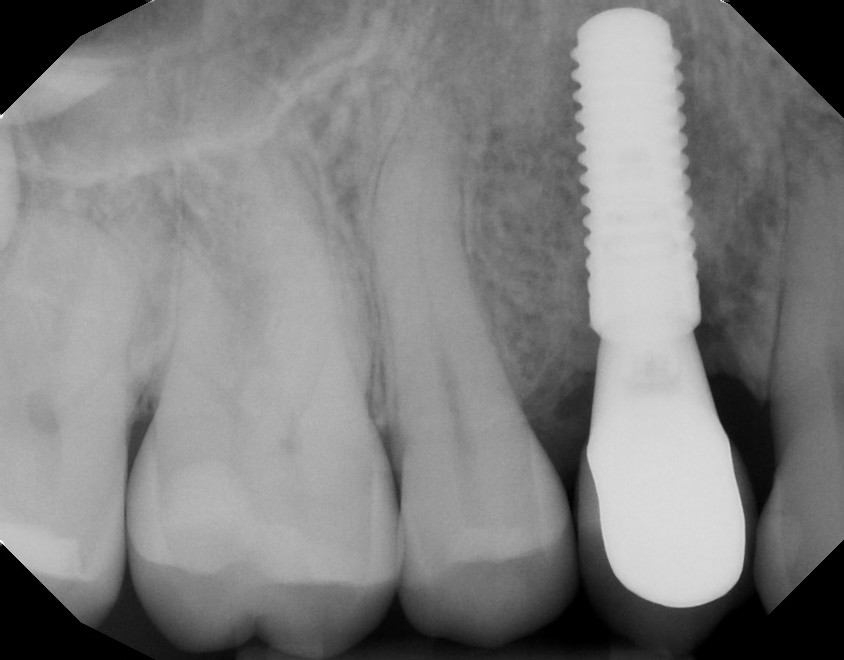
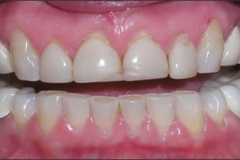
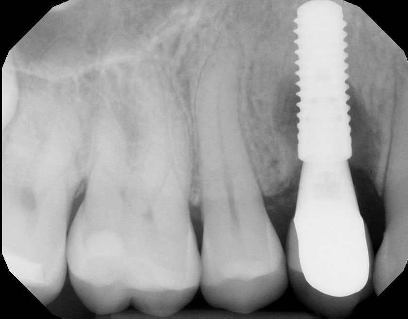
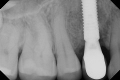
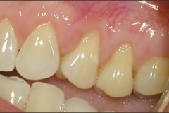
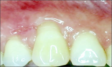
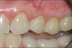
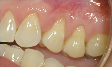
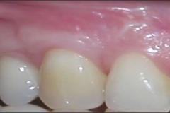
This mouth had recession on just one tooth with very little bone to support the tooth. The area needed support and thickness. The tissue was placed and the area now has thicker tissue to withstand the forces that the patient needs to place on it.
Click on a thumbnail to view the before and after photos.
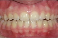
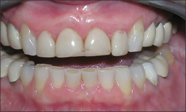
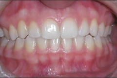
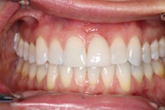
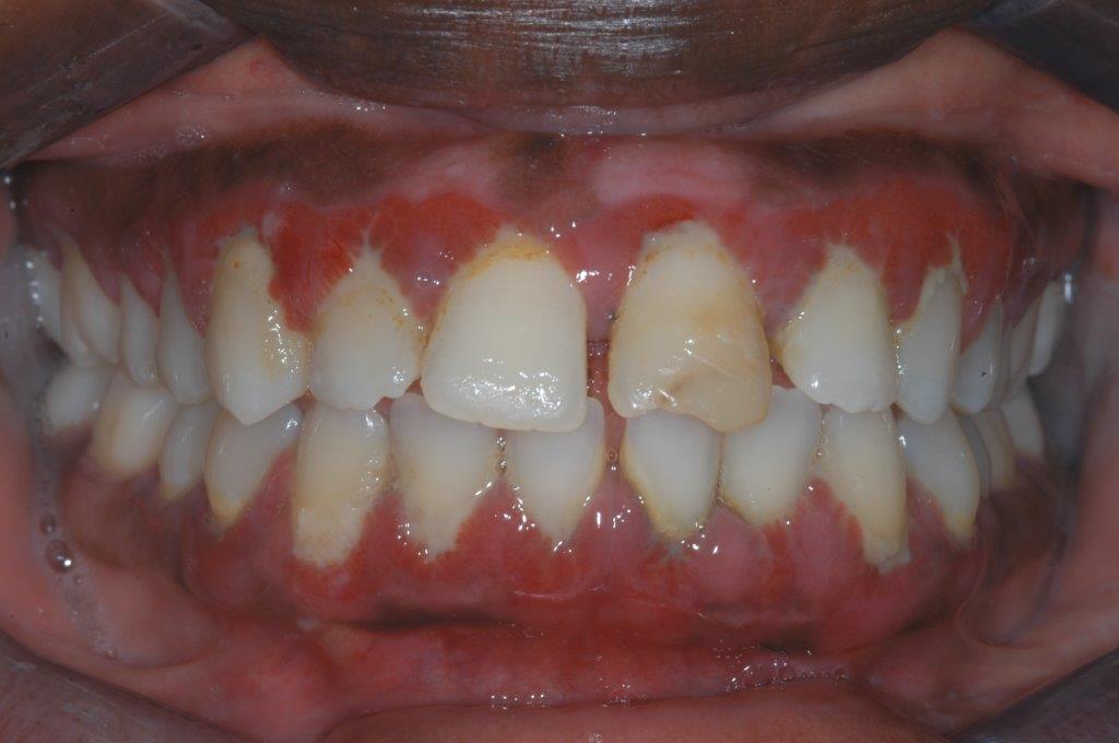
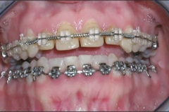
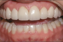
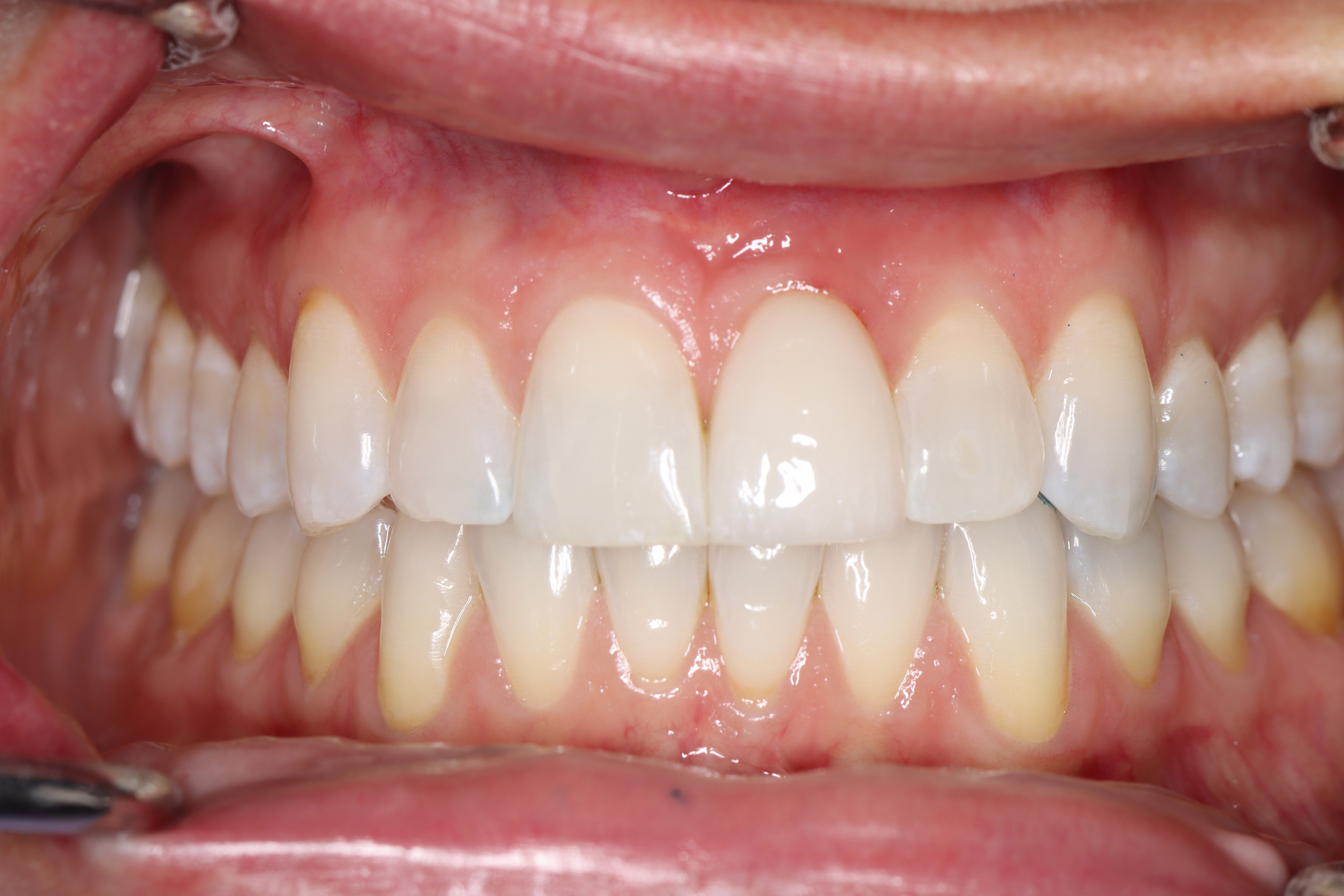
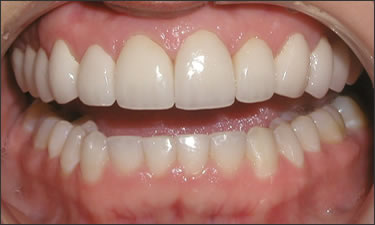
This young patient was self-conscious about the appearance of her short teeth and gummy smile. Through crown lengthening and tooth whitening procedures, we were able to create a beautiful, more mature smile.
Click on a thumbnail to view the before and after photos.

We at the Stuart Center for Laser Periodontics and Implants, welcome you to our practice. We are proud to serve the periodontal needs of people from Martin, St. Lucie, Palm Beach, Indian River, Vero Beach, Palm City, Port Salerno, Hobe Sound, Fort Pierce, Jensen Beach, West Palm, Gardens, Palm Beach, and Jupiter, FL. Dr. Nick DeTure is your Stuart periodontists, specializing in the treatment of gum disease. The Stuart Center for Laser Periodontics and Implants is a “state of the art” practice using the latest digital radiology, micro-surgery techniques and alternative treatments that are available. We pride ourselves in providing excellent, innovative and comprehensive care with compassion and understanding.