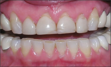
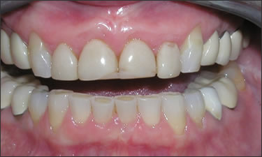
Restoring Gum Health with a Gum Graft
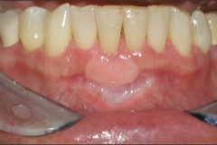
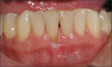
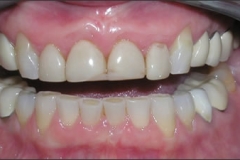
Gum disease can cause your gum tissue to recede, making your teeth appear longer and exposing more of the tooth surface to plaque and bacteria. Patients who want to restore the beauty of their smiles and the health of their gums turn to , who offers three methods of corrective gum graft in Stuart, FL:
- Connective tissue gum grafts
- Free gingival gum grafts
- Pedicle gum grafts
The Three Methods of Corrective Gum Graft
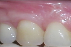
Connective tissue gum grafts may be used to treat the area around one or more teeth. With this technique, Dr. DeTure will make an incision in the roof of your mouth, creating a flap. The flap is pulled back and the donor tissue is taken from underneath. The flap is then smoothed back into place and sutured closed. The donor tissue is used to cover the tooth root or multiple roots and is stitched to the surrounding gum tissues which will grow together during the healing period. If you have experienced gum recession due to gum disease, you may undergo a connective tissue graft, as it is the most commonly performed of the three methods.
Free gingival gum grafts are recommended for patients whose gum tissue appears thin. This is due to the fact that the donor tissue is taken directly from the roof of the mouth and sutured to the area of the exposed tooth root. Of course, if your gum recession was caused by gum disease, Dr. DeTure will need to treat the infection before performing a graft procedure.
Pedicle gum grafts are recommended for patients with ample gum tissue near the area in deficit. With this method, Dr. DeTure can utilize the gum tissue surrounding the treatment site instead of collecting tissue from an additional location. A flap is cut into the gum tissue that surrounds the tooth and then gently pulled over the exposed root and sutured into place.
Gum recession caused by gum disease places your teeth at a greater risk of damage and decay. To determine if you are in need of a gum graft procedure, call Dr. DeTure in Stuart, FL to schedule your consultation today.
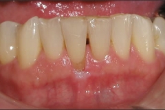
Gum Grafting Is Needed If:
Recession can be limited to one tooth or many and have symptoms including:
- Root Exposure on One or More Teeth
- Root Sensitivity
- Inflammation of the Tissues
- Cavities
- Esthetic Concerns
- Gum Disease
- Bone and Gum Deterioration
- Tooth Loss
Gum Grafting Can Correct Gum Recession Caused By Periodontal Disease
Schedule Your Gum Grafting Consultation Today!
