
For some patients (or prospective patients) 'seeing' the results of periodontal treatment can be very helpful.
While everyone is familiar with what general dentists do, they're less sure about what periodontists do.
Largely, periodontists like the ones at the Stuart Center for Laser Periodontics and Implants, help patients overcome the issues related to periodontal disease (gum disease). They can also provide a number of advanced treatments for gum disease, tooth replacements (implants) and cosmetic dentistry surgery. You could also consider getting invisalign for that perfect smile you have always wanted.
To see before and after images from some of our actual patients in Stuart, Florida click this link (images here).
This patient experienced many areas of gum recession, primarily on the upper and lower front teeth. This patient’s own tissue was used to correct the problem.
This mouth had recession on just one tooth with very little bone to support the tooth. The area needed support and thickness. The tissue was placed and the area now has thicker tissue to withstand the forces that the patient needs to place on it.
Here you can see recession on the pre-molars. This root exposure causes sensitivity to hot, cold and brushing. This area was grafted with Alloderm. Alloderm does not require tissue from the patient’s mouth. With Alloderm, the patient had only one site to heal.
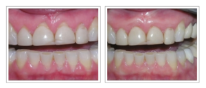
This young patient was self-conscious about the appearance of her short teeth and gummy smile. Through crown lengthening and tooth whitening procedures, we were able to create a beautiful, more mature smile.
This patient had a very unattractive smile. Esthetic crown lengthening, orthodontics and restorative dentistry created a beautiful smile for this patient.
Call Dr. DeTure today in Stuart, FL to schedule your periodontal examination and maintenance appointment.

We at the Stuart Center for Laser Periodontics and Implants, welcome you to our practice. We are proud to serve the periodontal needs of people from Martin, St. Lucie, Palm Beach, Indian River, Vero Beach, Palm City, Port Salerno, Hobe Sound, Fort Pierce, Jensen Beach, West Palm, Gardens, Palm Beach, and Jupiter, FL. Dr. Nick DeTure is your Stuart periodontists, specializing in the treatment of gum disease. The Stuart Center for Laser Periodontics and Implants is a “state of the art” practice using the latest digital radiology, micro-surgery techniques and alternative treatments that are available. We pride ourselves in providing excellent, innovative and comprehensive care with compassion and understanding.